-
뇌졸중 전조증상 10가지카테고리 없음 2025. 7. 25. 13:21
목차
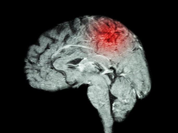
뇌졸중은 말 그대로 ‘뇌에 피가 돌지 않거나 갑자기 터지는’ 응급질환입니다.
발병 후 3시간 이내가 생사를 가르는 골든타임이라고 할 만큼
초기 전조증상을 빠르게 알아채는 것이 무엇보다 중요합니다.





뇌졸중 전조증상 오늘은 뇌졸중이 오기 전에 나타날 수 있는 신호 10가지,
정말 구체적으로 알려드릴게요.
혹시 나나 가족에게 이런 증상이 있다면, 절대 가볍게 넘기지 마세요.뇌졸중 전조증상
1. 갑작스러운 한쪽 얼굴의 마비 (안면 마비)
얼굴 한쪽 근육이 마비되거나 한쪽 입꼬리가 처지고 미소가 비대칭이 되는 경우,
이는 뇌에서 운동신경을 담당하는 부위에 이상이 생겼을 가능성이 있습니다.
가장 흔하고 빠르게 나타나는 전조 증상입니다.





뇌졸중 전조증상 2. 팔이나 다리의 힘이 빠지거나 감각이 둔해짐
한쪽 팔이나 다리에 갑자기 힘이 빠지거나 저린 느낌, 감각 저하가 생긴다면
뇌혈류 장애로 인한 신경 손상일 수 있습니다.
이때는 양팔을 들어보게 했을 때 한쪽이 내려가면 응급 상황을 의심해야 합니다.3. 갑작스럽고 심한 두통
기존에 경험해보지 못한 극심한 두통이나 ‘머리를 망치로 맞은 듯한’ 고통은
출혈성 뇌졸중(지주막하 출혈 등)의 전조일 수 있습니다.
특히 구토를 동반한 두통이라면 즉시 병원을 가야 합니다.





뇌졸중 전조증상 4. 말이 어눌해지고 발음이 이상해짐
아무렇지도 않게 대화하던 중 말이 느려지거나 발음이 뭉개지는 증상이 생기면
뇌졸중의 신경학적 전조 증상일 수 있습니다.
자신의 이름이나 문장을 말해보게 해보면 더 쉽게 확인할 수 있습니다.5. 이중 시야, 시야 흐림, 한쪽 시력 저하
한쪽 눈 또는 양쪽 눈이 흐리거나 겹쳐 보이거나 갑자기 앞이 잘 안 보이는 증상도 주의해야 합니다.
이는 뇌 후두엽 또는 시신경 혈류 장애로 발생할 수 있으며
특히 한쪽 시야만 사라지는 경우 뇌졸중 가능성이 높습니다.





뇌졸중 전조증상 6. 어지럼증과 균형감각 상실
평소 멀쩡하던 사람이 갑자기 중심을 못 잡고 비틀거리며 넘어지려 한다면
뇌에서 균형을 담당하는 소뇌 또는 뇌간에 이상이 생긴 전조 신호일 수 있습니다.
멀미 같은 어지럼증이나 방향감각 상실도 해당됩니다.7. 갑작스러운 기억 혼란 또는 인지 저하
자신이 누구인지, 지금이 몇 월인지 혼란을 느끼거나
간단한 질문에도 엉뚱하게 대답한다면,
뇌의 인지 기능 영역에 문제가 발생하고 있다는 신호일 수 있습니다.





뇌졸중 전조증상 8. 삼키기 어려운 느낌, 음식물 흘림
뇌졸중 전에는 음식물을 삼키기 어렵거나 자주 사레 걸리고,
물도 제대로 삼키지 못하고 흘리는 경우가 있습니다.
이는 연하근육을 조절하는 뇌신경 기능 이상 때문입니다.9. 일시적인 언어장애 또는 혼돈 상태
말을 이해하지 못하거나, 말을 할 수 있는데도 단어 선택이 어려운 경우,
실제 말은 하되 뜻을 모르게 말하는 상태(언어혼란증)는
일시적인 **일과성 허혈발작(TIA)**일 가능성도 있습니다.





뇌졸중 전조증상 10. 전신 무력감과 급격한 피로감
갑자기 몸이 축 늘어지고, 평소보다 유난히 지치고 피곤한 느낌이 들 수 있습니다.
이건 단순 피로가 아니라 산소와 혈류 공급 부족의 초기 신호일 수 있습니다.뇌졸중 주의사항
- 증상 발생 후 3시간 이내 병원 도착이 골든타임!
- 한 가지 증상이라도 갑자기 나타나면 즉시 119 호출
- **일과성 허혈발작(TIA)**도 반드시 검사 필요 (곧 큰 뇌졸중으로 이어질 수 있음)
- 고혈압, 당뇨, 고지혈증, 심장병 환자 및 흡연자, 50대 이상은 각별히 주의
뇌졸중은 **“갑자기 찾아오고, 한순간에 삶을 바꿔놓는 질환”**입니다.
하지만 전조증상을 알고 있으면 예방하고, 골든타임 내 치료받을 수 있는 기회가 생깁니다.오늘 소개한 뇌졸중 전조증상 10가지를 꼭 기억해두시고,
이상 신호가 느껴진다면 절대 지체 말고 응급실로 향하세요.
우리 뇌는 단 몇 분의 지연도 용납하지 않습니다.다음에도 건강에 꼭 필요한 정보로 찾아뵐게요.
읽어주셔서 감사합니다! 🙏🧠뇌경색 초기증상 10가지
오늘은 빠른 대응이 생명을 좌우하는 질환, 바로 **‘뇌경색(허혈성 뇌졸중)’**에 대해 이야기해보려고 합니다.뇌경색은 뇌혈관이 막혀서 뇌조직으로 가는 혈류가 차단되며 뇌세포가 손상되는
qufdlsk.huswm.com
파킨슨병 초기증상 10가지
오늘은 나이가 들면서 누구나 한번쯤 걱정하게 되는 **‘파킨슨병(Parkinson’s Disease)’**에 대해 다뤄보려 합니다.파킨슨병은 대표적인 퇴행성 신경계 질환으로, 운동 기능 저하, 떨림, 보행 장애
qufdlsk.huswm.com
치매 초기증상 8가지
요즘 고령화가 빠르게 진행되면서 치매에 대한 관심과 걱정이 늘고 있죠.치매는 조기에 발견하고 관리하면 진행을 늦출 수 있는 질환이기 때문에초기 증상을 빠르게 알아차리는 것이 정말 중요
qufdlsk.huswm.com