-
목차
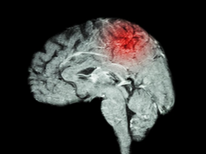
안녕하세요! 오늘은 꼭 알아야 할 생명의 신호, 뇌졸중 전조증상에 대해 알려드립니다 갑작스럽게 찾아오는 뇌졸중(중풍), 그 발생 순간은 예고 없이 오지만, 사실 우리 몸은 미리 신호를 보내고 있습니다. 이 신호를 정확히 알고 빠르게 대응하면 후유증을 줄이고 생명을 구할 수도 있어요. 오늘은 뇌졸중 전조증상 10가지를 아주 상세하게 알려드릴게요. 자신과 가족의 건강을 지키는 데 꼭 기억해두세요.






뇌졸중 전조증상 뇌졸중 전조증상
1. 한쪽 얼굴이 처지거나 마비되는 느낌
갑자기 입꼬리나 눈꺼풀이 한쪽만 처지거나 움직이지 않는 경우,
자신은 눈치채지 못하지만 타인이 봤을 때 얼굴이 비대칭으로 보이는 경우가 많습니다.
입을 벌리거나 웃으려고 할 때 특히 눈에 띕니다.
이는 뇌의 운동신경 손상 초기 신호일 수 있습니다.2. 한쪽 팔 또는 다리에 힘이 빠지거나 저림
갑자기 한쪽 팔이나 다리에 힘이 빠져 물건을 떨어뜨리거나,
계단을 오르거나 걷기 힘든 경우가 있습니다.
특히 팔을 앞으로 뻗었을 때 한쪽 팔이 아래로 떨어지는 증상은 매우 중요합니다.





뇌졸중 전조증상 3. 말이 어눌하거나 말이 잘 나오지 않음
갑자기 말이 느려지고, 발음이 이상하거나,
단어 선택이 어색해지고, 질문에 대한 이해가 느려지는 증상이 나타납니다.
본인은 정상이라고 느낄 수 있으나, 타인이 들었을 때 이상하게 느껴지는 말투나 문장 구성이 전조일 수 있어요.4. 갑작스러운 시야 흐림 또는 시야 손실
한쪽 눈 또는 양쪽 눈이 갑자기 흐릿해지거나
시야가 좁아지고 앞이 잘 보이지 않는 현상이 나타날 수 있습니다.
물체가 겹쳐 보이거나 이중으로 보이기도 합니다.
이는 뇌 후두엽의 혈류 이상으로 인한 증상일 수 있습니다.





뇌졸중 전조증상 5. 갑작스러운 어지러움, 균형감각 상실
전조증상으로 돌듯한 어지러움,
일어서자마자 중심을 잃고 비틀거리는 현상이 나타날 수 있습니다.
특히 기립성 어지러움과는 달리, 움직이지 않아도 증상이 계속되거나 악화될 때 주의가 필요합니다.6. 갑작스럽고 극심한 두통
평소 경험해보지 못한 칼로 찌르듯 심한 두통,
전조 없이 갑자기 시작되는 극심한 통증이 나타난다면
뇌출혈의 초기 신호일 수 있습니다.
특히 구토나 의식 혼탁이 동반된다면 즉시 병원에 가야 합니다.





뇌졸중 전조증상 7. 의식 혼란 또는 판단력 저하
갑자기 자신이 어디 있는지, 지금이 몇 시인지 모르거나,
간단한 질문에도 대답이 느리고, 상황 파악이 어려워지는 증상이 나타날 수 있어요.
이는 뇌의 특정 부위로 가는 혈류가 일시적으로 차단된 결과입니다.8. 삼키기 어려움(연하 곤란)
갑자기 음식을 삼키기 어렵거나 물을 마시다 사래가 자주 걸리는 경우,
혹은 침을 잘 삼키지 못하고 입 주변에 침이 고이거나 흘리는 경우도 뇌졸중의 전조일 수 있습니다.





뇌졸중 전조증상 9. 이유 없는 피로감 또는 졸림
뇌졸중 전에는 종종 이유 없는 극심한 피로,
또는 졸림과 무기력함이 몰려오는 경우가 있습니다.
특히 평소와 다른 느린 반응 속도, 무기력한 행동 변화가 있다면 가족들이 유심히 살펴야 합니다.10. 일시적인 증상 후 정상 회복 (‘미니 중풍’)
위의 증상들이 **짧게 나타났다가 사라지는 경우(TIA, 일과성 허혈 발작)**가 있습니다.
이 경우 “지나갔으니 괜찮다”고 넘기면 안 되고,
48시간~일주일 내에 본격적인 뇌졸중이 올 수 있으니 즉시 병원 진료가 필요합니다.





뇌졸중 전조증상 주의사항
- 전조증상이 하나라도 보이면 즉시 119 또는 응급실 내원이 가장 중요합니다.
- 시간이 생명입니다.
뇌졸중 치료의 황금 시간대는 증상 발생 후 3시간 이내입니다. - 미니중풍(TIA)도 반드시 검진을 받아야 하며,
고혈압, 당뇨, 고지혈증, 흡연, 비만, 스트레스는 주요 위험요소입니다.
뇌졸중은 단 1분의 대응 차이로 생명과 후유증을 가를 수 있는 질환입니다.
하지만 몸은 그보다 앞서 소리 없는 경고 신호를 보내고 있습니다.오늘 알려드린 전조증상 10가지,
꼭 기억하고 가족, 지인에게도 공유해 주세요.
건강한 삶을 위한 가장 강력한 예방은 인식과 빠른 대응입니다.오늘 하루도 건강하고 평안하게 보내시고,
읽어주셔서 감사합니다 🙏아로니아 효능 및 부작용
오늘은 '슈퍼푸드'로 불리며 전 세계적으로 사랑받고 있는 '아로니아'에 대해 알아보려고 합니다. 아로니아는 그 특유의 짙은 보라색과 강력한 항산화 성분 덕분에 건강 관리에 탁월한 효과를
qufdlsk.huswm.com
양파 효능 및 부작용
오늘은 많은 요리의 기본 재료로 사랑받는 '양파'에 대해 알아보려고 합니다. 양파는 그 특유의 매운맛과 향뿐만 아니라 다양한 영양 성분으로 건강에도 큰 도움을 주는 채소입니다.특히, 항산
qufdlsk.huswm.com
양배추 효능 및 부작용
오늘은 많은 분들이 건강한 식단에서 자주 만나는 채소, 바로 '양배추'에 대해 알아보려 합니다. 양배추는 부드러운 식감과 고소한 맛으로 사랑받는 채소일 뿐만 아니라 다양한 영양소가 풍부하
qufdlsk.huswm.com