-
뇌경색 초기증상 총정리카테고리 없음 2024. 10. 21. 16:16
목차
어렸을 경우에는 그저 다른 사람 이야기이고 내게는 일어나지 않을 일이라고 생각했는데 점점 나이를 먹고 여기저기 조금씩 몸이 아파오면 이런 소식들이 무섭게 다가오기도 합니다.. 하여 그런지 조금이라도 어느 정도의 증상들을 파악하고 있어야 이로움이 되지 않을까 싶은 마음이 들기도 합니다.. 뇌경색은 50대 이후부터 연령대가 높아질수록 크게 증가하는데 50대 734명에서 60대 2226명, 70대 5333명, 80대 이상 7874명으로 고 연령대에서는 급격하게 증가하는 추세를 보인다고 합니다.






뇌경색 초기증상
뇌경색 질환이 연령이 높아질수록 진료인원수가 급격히 늘어나는 이유에 대해 고혈압, 동맥경화, 당뇨는 뇌경색의 주요 원인이 됩니다. 연령이 높아질수록 발생빈도가 증가하게 되고 그에 따라 뇌경색 질환 또한 증가하는 것으로 볼 수 있습니다.고 전문가들은 말하고 추측하고 있습니다..
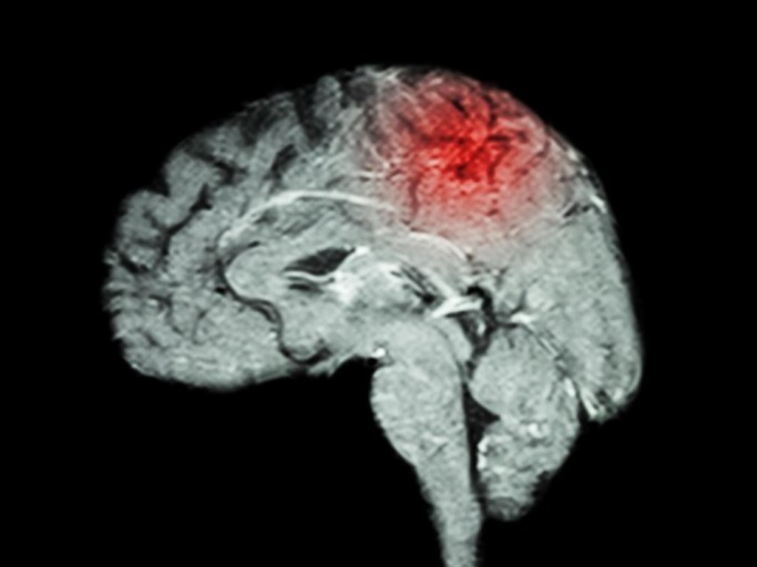
우리 몸에 있는 혈관을 통해 혈액이 순환하면서 각가지 신체기관에 산소와 영양분을 공급하고 노폐물을 배출시키게 되는데 혈액이 일정 시간 순환하지 못하게되면 각가지 부작용이 나타납니다.. 뇌경색은 뇌혈관이 막힘으로써 혈류량이 감소해서 이로 인해 뇌 조직이 제 기능을 못하는 질병으로 뇌경색은 사망률과 장애율이 높은 질병으로 예방이 아주 중요합니다.
뇌경색 이란
뇌경색은 뇌혈관이 막혀서 발생하는 것으로 뇌혈관이 터져서 발생하는 뇌출혈과 함께 뇌졸중 즉 뇌혈관질환에 속하고
이러한 기전에 의해 손상된 뇌 부위의 신경학적 증상이 갑작스럽게 나타나는 질환입니다.. 때에 따라 비슷한 증상을 미리 경험하는 경우가 있는데 이도 전조증상이라기보다는 뇌졸중이 발생하고 연이어 재발한 것으로 여기고 치료해야 합니다..





뇌경색 초기증상
뇌경색 초기증상
한쪽 팔다리에 감각이 없어지면 힘이 빠진다. 또 저린 느낌이 지속되면 뇌경색 초기 증상을 의심해 봐야 합니다..
머리가 아프다거나 어지럼증 증세가 나타납니다.. 이는 뇌에 혈액순환이 제대로 이뤄지지 않기 때문에 속이 울렁거려 토를 한 경우 혹은 길을 걸을 때 비틀거리며 걷기도 합니다..
상대방의 말을 제대로 이해하지 못하고, 갑자기 말을 못 합니다..
기력이 감소하고, 피로감이 심해진다. 피로감은 평상시에 우리가 느끼는 피로감과 달리 일상생활이 힘들 정도로 머리가 무겁다거나 목덜미가 뻐근해지는 증상들을 일 컸는다.
시력이 떨어져서 사물을 뚜렷하게 보는 게 어려워지며 사물이 다양한 개로 겹쳐 보이기도 합니다..





뇌경색 초기증상
뇌경색 진행 후 증상
연하장애
음식을 삼키지 못하고 침을 흘린다.
반신마비
뇌혈관이 막힌 부위의 반대쪽 팔과 다리가 마비됩니다.
감각이상
팔다리의 감각이 무뎌지고 만져도 아무 느낌이 없다.
의식장애
의식을 잃고 쓰러지는 경우가 많다.
언어장애
뇌에 혈액공급이 낮아져 말이 잘 나오지 않고 어눌해진다.
시력장애
눈 한쪽이 잘 보이지 않고 사물이 다양한 개로 겹쳐 보이기도 합니다..
피로감
피곤함을 크게 느끼고 머리가 무겁다고 느껴진다.
어지럼증 두통
어지럽고 두통이 생기며 속이 좋지 않아 구토를 할 수 있습니다..
안면근육 장애
안면근육 마비로 인해 얼굴이 틀어지고 입이 삐뚤어지기 시작합니다..





뇌경색 초기증상
뇌경색 원인
뇌에 공급하는 동맥이 플라크라고 하는 혈전 혹은 지방 축적에 의해 차단될 때 발생합니다.. 일반적으로 심장에서 순환계를 통해 이동하는데 스스로 분해되거나 동맥에 박히는 경우가 많이 있습니다.. 뇌동맥을 막게 되면 뇌에 혈액이나 산소가 충분하지 않아 세포가 죽기 시작하며, 플라크는 동맥에 쌓여 허혈성 뇌졸중을 일으킬 만큼 동맥을 좁혀간다. 폐결핵이나 위경련도 비슷한 구조로 발생하기도 합니다..
뇌경색의 치료 및 관리
일단 뇌경색이 발생하게되면 증상 발생 후 치료 시작을 얼마나 빨리 할 수 있는지가 이후 가장 중요한 요인이 된다고 합니다.. 뇌졸중 증상이 발생하게되면 최대한 빨리 급성기 뇌졸중 치료 시설 및 인력을 갖추고 있는 병원을 방문해서 혈전용해술, 혈전제거술, 혈관확장술 등의 초급성기 치료를 받아야 합니다.. 급성기 치료 후에는 뇌졸중 원인에 따라 재발 방지를 위한 치료방침을 선택하게 되고, 후유증에 대한 재활치료도 가능한 한 빨리 시행하는 것이 좋다.





뇌경색 초기증상
뇌경색 예방법
뇌경색을 예방하기 위해서는 술과 담배를 금지하고 유산소 운동을 하며 동물성 기름 섭취를 자제합니다.. 기름지거나 짠 음식보다 싱겁게 섭취하는 게 좋고, 혈액이 흐르고 있는 혈관을 강화시키거나 혈관 내에 있는 노폐물을 제거해주는 음식 위주로 섭취합니다.. 양파나 대파, 생강, 느타리버섯 등이 뇌경색 초기 증상을 치료에 유익한 음식입니다..
뇌경색은 생활병이라고 할 만큼 이의 예방은 위험요인의 관리가 가장 중요합니다.고 합니다.. 조절 가능한 위험요인인 고혈압, 부정맥, 당뇨병 등의 고지혈증, 심장질환, 비만, 과음, 흡연, 수면무호흡증, 비만, 운동부족, 경동맥 협착 등의 조기발견 및 관리에 힘쓰는 것이 뇌경색의 을 예방하는데 큰 도움을 준다. 규칙적인 혈압 측정과 혈압관리를 하고, 일주일에 4일은 하루에 30분 이상 운동을 하는 것이 좋다.키위 보관법 냉장 상온 보관법 꿀팁
안녕하세요, 여러분! 오늘은 건강하고 맛있는 과일, 키위의 올바른 보관법에 대해 이야기해보려고 합니다. 키위는 비타민 C와 식이섬유가 풍부해 우리 몸에 많은 이점을 주는 과일인데요, 제대
qufdlsk.huswm.com
티키타카 뜻 유래 일상생활 속 예문
최근에 티키타카란 단어가 커뮤니티에서 굉장히 많이 쓰이는 것을 볼 수 있다. 이게 과연 무슨 뜻일까?티키타카 뜻 티키타카 뜻은 스페인어로 탁구공이 왔다 갔다 합니다.는 의미입니다. 또한
qufdlsk.huswm.com